Demi
Dent
Стоматология нового формата
записаться на прием
RO
RU
+373 (79) 311 311
Услуги
Протезирование зубов
Имплантация зубов
Виниры
Гигиена и профилактика
Реставрация Зубов
Лечение каналов
Костная пластика
Ортодонтия и исправления прикуса
Отбеливание зубов
Наши работы
Технологии
Контакты
Полезные статьи
Главная
Наши работы
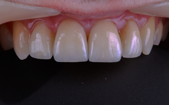
4 винира на верхней челюсти. Миниинвазивный подход.
4 винира на верхней челюсти. Миниинвазивный подход.
Наши работы
Эстетическая и функциональная реабилитация
Восстановление зубов верхней челюсти
Виниры
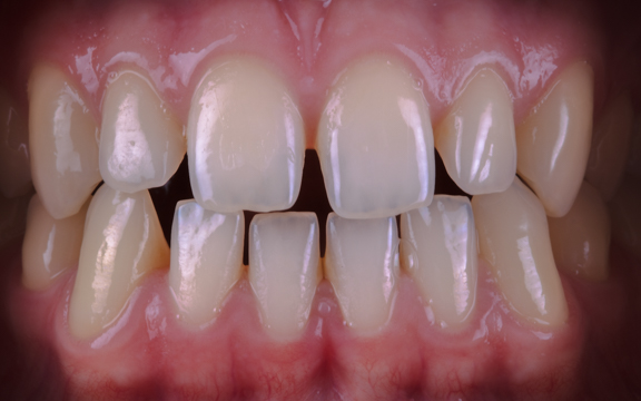
6 виниров на верхней челюсти
6 виниров на верхней челюсти
Изменение формы клыков при помощи виниров
2 Винира на верхней челюсти
Эстетисеская реабилитация
Реставрация центральных и боковых резцов композитом
Профессиональная гигиена полости рта
Запись
Записаться
на прием
Оставьте Ваши контактные данные, и мы свяжемся с Вами в ближайшее время.
номер указывайте в формате * (**) **-**-**
Согласен на обработку персональных данных
Ваш запрос был успешно отправлен