Demi
Dent
Стоматология нового формата
записаться на прием
RO
RU
+373 (79) 311 311
Услуги
Протезирование зубов
Имплантация зубов
Виниры
Гигиена и профилактика
Реставрация Зубов
Лечение каналов
Костная пластика
Ортодонтия и исправления прикуса
Отбеливание зубов
Наши работы
Технологии
Контакты
Полезные статьи
Главная
Наши работы
Эстетическая и функциональная реабилитация
Эстетическая и функциональная реабилитация
Наши работы
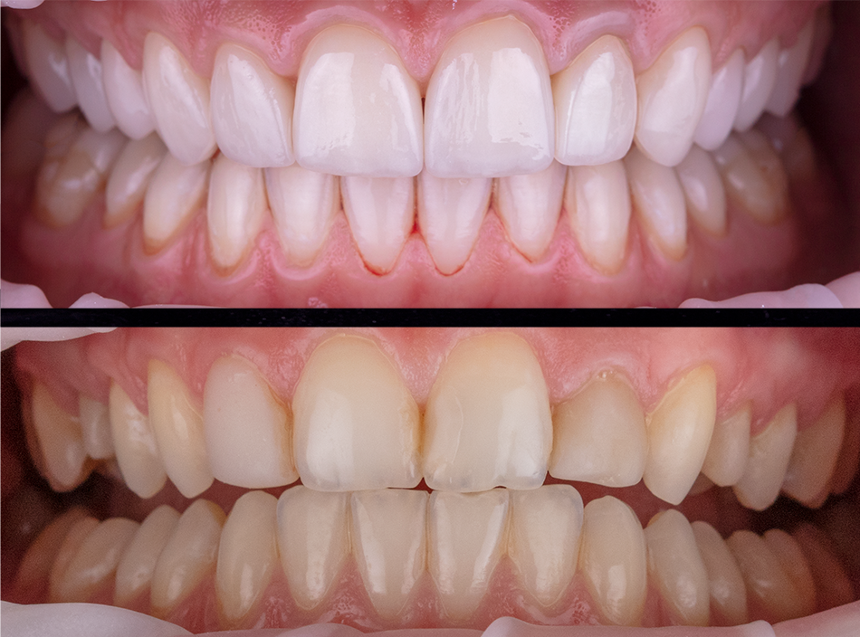
Виниры
6 виниров на верхней челюсти
6 виниров на верхней челюсти
10 керамических виниров на верхнюю челюсть
Запись
Записаться
на прием
Оставьте Ваши контактные данные, и мы свяжемся с Вами в ближайшее время.
номер указывайте в формате * (**) **-**-**
Согласен на обработку персональных данных
Ваш запрос был успешно отправлен